Electronic Arts presenta la Edición Legión del Alba de Anthem, el próximo videojuego que estará disponible el próximo 22 de febrero en PlayStation 4, Xbox One y PC en Origin. Esta edición especial contará con exclusivas Alabardas de la Legión del Alba, los legendarios guerreros que precedieron a los Libranceros, el arma exclusiva Luz de la Legión y acceso VIP a la demo previo al lanzamiento mundial del videojuego.
Sigue leyendo
Archivos diarios: 17 diciembre, 2018
Warp Charge 30, la tecnología de carga rápida de OnePlus para tener batería durante todo el día en tan solo 20 minutos
OnePlus, la compañía internacional de tecnología móvil, ha lanzado la tecnología de carga rápida Warp Charge 30, con la que la nueva edición limitada del OnePlus 6T McLaren puede cargar la batería de un día en tan solo veinte minutos.
Sigue leyendo
La batalla final llega a KINGDOM HEARTS III
Hoy se ha presentado el último tráiler de KINGDOM HEARTS III, con el que Sora y sus amigos se preparan para la batalla definitiva entre la luz y la oscuridad.
El tráiler «La batalla final» puede verse aquí.
Sigue leyendo
Telefonica presenta Movistar Car para convertir el vehiculo en un coche conectado
Telefónica ha lanzado hoy una web de reservas de Movistar Car (www.movistar.es/movistarcar), un nuevo servicio que conecta el coche para hacerlo más seguro e inteligente a través de un dispositivo que coloca el propio conductor de forma sencilla y de una aplicación que lo gestiona. El servicio, con un precio de alta de 20 euros, se comercializará a partir de febrero de 2019 por tres euros al mes (IVA incluido) y estará disponible para los coches de gasolina fabricados a partir del año 2004 y del 2005 para los coches con combustible diésel.
Sigue leyendo
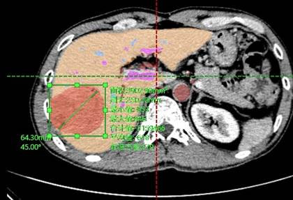
Más de 100 hospitales ya han desplegado Hisense CAS, un sistema de cirugía asistida que mejora el tratamiento médico
Hisense CAS (Computer-Assisted Surgery), capaz de ofrecer a los médicos un sistema de análisis cuantitativo y una reconstrucción de imágenes médicas eficiente, precisa y simple, es la principal aportación de la marca a la medicina moderna. Una solución completa que ayuda a los profesionales sanitarios en operaciones abdominales, de órganos como el hígado, la vesícula biliar, el páncreas o los riñones, y fundamental para el diagnóstico prematuro de enfermedades como el cáncer.
Sigue leyendo
4 formas de conseguir un ambiente saludable en casa
La contaminación y la calidad del aire es, desde hace años, un tema recurrente en los medios de comunicación. Sin embargo, estas últimas semanas está en boca de todos, especialmente tras la puesta en marcha de la nueva normativa Madrid Central, por la que se restringe el tráfico a los vehículos de combustión y de uso privado en el centro de la capital.
Sigue leyendo
Reproduce todo tipo de contenidos multimedia con los nuevos tablets Woxter X70 y X100
Anunciamos el lanzamiento de los nuevos tablets Android Woxter X70 y X100, Los dos modelos son compatibles con resolución 4K gracias al procesador Mediatek Quad Core Cortex A53 , disponen de Blueooth y WiFi y están gobernados por Android 8.1 Oreo.
Sigue leyendo
Bahía Software abrirá en Santander su primer Centro de Desarrollo de Software fuera de Galicia
La compañía Bahía Software –especializada en servicios TI e implementación de soluciones tecnológicas–, abrirá en Santander su primer Centro de Desarrollo de Software fuera de Galicia. Esta nueva sede se sumará a sus oficinas en Santiago de Compostela, Ourense y A Coruña.
Sigue leyendo
Los usuarios de los autobuses urbanos de Santander podrán pagar el billete de viaje con tarjeta financiera
Banco Santander, Mastercard junto a TUS y el Ayuntamiento de Santander ponen hoy en marcha un proyecto piloto para implementar el pago con tarjetas o dispositivos móviles con tecnología EMV contactless en los autobuses de las líneas 1 y Central.
De este modo, la capital cántabra se coloca a la vanguardia en servicios digitales en el transporte urbano al introducir este método de pago y ofrecer mejores prestaciones a los usuarios.
Sigue leyendo
Cooltra, distribuidor oficial de motos eléctricas de la Administración Pública
Cooltra, la compañía líder en renting de movilidad sobre dos ruedas con una flota de más de 15.000 motos, ha sido seleccionada por el Gobierno como único distribuidor oficial dentro del Acuerdo Marco para el suministro de motocicletas eléctricas a las Administraciones Públicas del Estado. Según la resolución, publicada ayer en el BOE, los contratos de compra de motos contemplados en el Acuerdo Marco suman un importe de 91,7 millones de euros y han recaído en los fabricantes BMW, Yamaha y ZERO, de quien Cooltra es distribuidor exclusivo. Gracias a esta adjudicación Cooltra será a partir de 2019 distribuidor oficial de motos eléctricas de diferentes ámbitos de la Administración Pública, liderando así la transición a una movilidad más sostenible. Estos contratos tendrán un periodo de ejecución de dos años.
Sigue leyendo